| Infidel diary | |
| Home | Elsewhere | | |
|
|
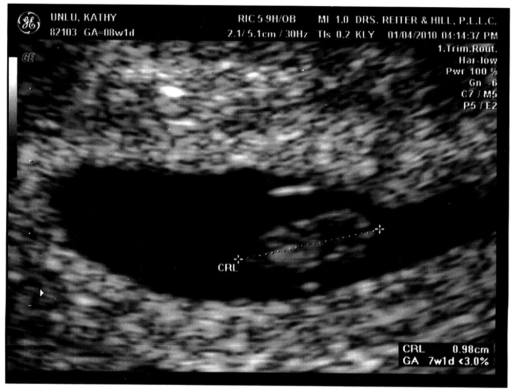
Love at first sight (part one) I loved you when I first laid eyes on you. I know for a fact that you could not have known that anyone was watching you at that moment (because you did not even have eyes yet), but yet there you were, strecthing out your full length (of 1 cm) as if you somehow sensed it. I knew that you were all right even before the ultrasound lady told us everything looked normal for a seven-week old embryo and gave us this snapshot. I knew with the inexplicable feeling that parents know, that feeling that my parents have often talked about and have told me that I would not understand until I too became a parent. And they were right - I never understood. Until a few weeks ago that is. I knew that I loved you then, even though you were a total stranger, just a tiny bead in your mother's womb, a mass of cells, but one which even at that time had a heartbeat. It was fantastic to hear the sound, the thump-thump-thump of it coming through the microphone. The sound was even more fantastic because it mirrored mine. I knew that I could not wait to meet you and watch you grow up. I knew that I would keep this picture and this sentimental gibberish which, if you turn out to be anything like your parents, you will most heatedly argue is lame (or whatever the kids will be using to label this sort of prose by then). I don't care. Or, I do care, but hope that you will excuse your dad for it. Because one day, you, too will understand. (part two)
|
| miscellaneous | |
Copyleft notice: Copyright (C) 1999-2005 Mustafa Ünlü. This information is free; you can redistribute it and/or modify it under the terms of the GNU General Public License as published by the Free Software Foundation; either version 2 of the License, or (at your option) any later version. |